Brain-eating amoeba: Warning issued in Florida after rare infection case
A case of a rare brain-eating amoeba has been confirmed in Florida, according to health officials in the US state. The Florida Department of Health (DOH) said one person in Hillsborough County had contracted Naegleria fowleri.
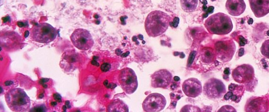
The microscopic, single-celled amoeba can cause an infection of the brain, and is usually fatal. Commonly found in warm freshwater, the amoeba enters the body through the nose. The DOH did not outline where the infection was contracted, or the patient’s condition. The amoeba cannot be passed from person to person. Infections are typically seen in southern US states. They are rare in Florida, where only 37 cases have been reported since 1962.(BBC)…[+]



