PARAMARIBO – De politie heeft een man in de kraag gevat voor zware mishandeling met voorbedachten rade. Hij is na afstemming met het Openbaar Ministerie in verzekering gesteld. De verdachte zou opzettelijk met een auto hebben ingereden op anderen. Daarbij liep een vrouw letsel op en moest medisch worden behandeld. Het is niet bekend waarom hij dat heeft gedaan. De politie was ingeschakeld en ging naar de plaats voor onderzoek. De werd aangehouden en overgebracht naar het politiebureau. Vermoedelijk had hij de slachtoffers al eerder hebben aangevallen. Het onderzoek is nog gaande…[+]
Nieuws volgens datum: 6 Jul, 2020
Winkelier kapt klant met houwer
PARAMARIBO – Een winkelier aan de L’ Hermitageweg heeft vrijdag een 57-jarige klant met een houwer gekapt. Het slachtoffer liep kapverwondingen aan zijn hoofd op en moest met de ambulance worden vervoerd voor medische behandeling.
Het begon met een woordenwisseling tussen de klant en de vrouw van de winkelier. De klant was in de winkel toen de vrouw aan de telefoon sprak met een leverancier. De klant dacht dat de vrouw op een vervelende toon met hem sprak en begon tekeer te gaan. Een andere klant vroeg het slachtoffer zich rustig te houden en bracht hem naar buiten. Het slachtoffer ging echter weer de winkel in en begon de vrouw te slaan. De winkelier zag dit en schoot zijn vrouw te hulp. Hij pakte een houwer en verwondde de klant op zijn hoofd. De politie heeft de houwer in beslag genomen…[+]
Staatsolie lanceert Corporate Governance Code
Staatsolie heeft zijn Corporate Governance Code gelanceerd. Dit beleidsdocument zorgt voor het kader waarbinnen invulling gegeven wordt aan principes en bepalingen voor de bescherming van stakeholders. Dit is een belangrijke stap in het transformatieproces een wereldklassebedrijf te worden.
Staatsolie heeft zijn Corporate Governance Code gelanceerd.
Nu er al twee significante olievondsten zijn gedaan in het offshore-gebied en er exploratie-activiteiten plaatsvinden bij de derde put, is het bedrijf zich verder aan het voorbereiden op het moment dat de offshore-olieproductie daadwerkelijk van start gaat.
Met de implementatie van de Corporate Governance Code, zijn de randvoorwaarden gecreëerd zodat de belangen van aandeelhouders, werknemers en andere stakeholders van Staatsolie worden beschermd en wel door invulling te geven aan de volgende principes en bepalingen:
• Langetermijnwaardecreatie
• Effectief bestuur en toezicht
• Verantwoordelijkheid
• Integriteit
• Transparantie
• Beheersing van risico’s…[+]
Zidane is klaar met verhalen over arbitrage en wil respect voor Real-spelers
Real Madrid-trainer Zinédine Zidane is er klaar mee dat het na elke wedstrijd vooral gaat over scheidsrechterlijke beslissingen in het voordeel van zijn ploeg. De Fransman vindt dit respectloos richting zijn spelers.
“Ik word er moe van dat we steeds moeten horen dat we gewonnen hebben door de scheidsrechter”, zei Zidane zondag op zijn persconferentie na het La Liga-duel met Athletic Club (0-1-zege).
Real won in Baskenland door een rake penalty van Sergio Ramos, net als afgelopen donderdag in het thuisduel met Getafe (1-0). Scheidsrechter José González gaf de strafschop zondag op aanraden van de VAR omdat Athletic-middenvelder Dani Garcia een blok zette en Marcelo haakte.(NU)…[+]
Xavi verlengt contract in Qatar tot volgende verkiezingen FC Barcelona
Xavi heeft zondag zijn contract bij Al-Sadd uit Qatar met een jaar verlengd. De veertigjarige trainer uit Spanje ligt nu vast tot de volgende presidentsverkiezingen van FC Barcelona, de club waar hij vaak genoemd wordt als nieuwe coach. “Ik ben blij dat ik langer bij Al-Sadd kan blijven”, zegt Xavi op de site van de club uit Doha. “Mijn focus ligt nu volledig op het zo goed mogelijk voorbereiden van de spelers op de komende competities.” De oud-middenvelder beëindigde zijn actieve carrière in 2019 bij Al-Sadd en werd vervolgens direct de hoofdcoach van de club uit de Qatar Stars League. Hij leidde zijn ploeg naar de winst van de Qatarese beker en de super cup.(NU)…[+]
Balende Verstappen: ‘Ik had minimaal een podiumplaats kunnen scoren’
Max Verstappen baalde als een stekker na de eerste race van het Formule 1-seizoen. Door een vroege uitvalbeurt zag de Red Bull-coureur een waarschijnlijke podiumplaats in rook opgaan. Verstappen reed op de tweede plek achter de latere winnaar Valtteri Bottas, toen zijn auto na elf rondes met een elektrisch probleem de geest gaf. “Plotseling verloor ik heel veel kracht”, vertelde Verstappen in een eerste reactie aan het Formule 1-kanaal. “Ik weet nog niet wat het probleem precies is. Dat zullen we nog gaan uitzoeken.” “Dit is niet hoe je aan het seizoen wilt beginnen”, stelde Verstappen gelaten vast. “Ik had hier minimaal een podium kunnen scoren. Valtteri was erg snel, daarachter reed ik mijn eigen tempo.“(NU)…[+]
Kopstuk guerrillabeweging ELN gedood door Colombiaans leger
Colombiaanse strijdkrachten hebben een kopstuk van guerrillabeweging ELN gedood tijdens een militaire operatie. Jhon Fredy Cortés Buriticá, ook wel bekend onder de aliassen Dumar of Culebrito, werd gezien als rechterhand van Pablito, de militaire leider van ELN. President Iván Duque van Colombia maakte de dood van Cortés Buriticá zaterdag onder meer bekend via Twitter.
Volgens Duque is Cortés Buriticá medeverantwoordelijk voor de planning en uitvoering van een zware bomaanslag op een politieacademie in de Colombiaanse hoofdstad Bogota. Bij die aanslag kwamen begin vorig jaar 21 mensen om het leven en raakten bijna 70 mensen gewond. Hoewel Duque nog geen details heeft gegeven over de militaire operatie waarbij het kopstuk om het leven kwam, noemde hij het een “krachtige operatie tegen de maffia, het terrorisme en de misdaad”.(NU)…[+]
Weer rijdt automobilist in op demonstranten in Seattle, vrouw in levensgevaar
In de nacht van vrijdag op zaterdag is opnieuw een automobilist in Seattle ingereden op een groep Black Lives Matter-demonstranten, schrijven meerdere internationale media. Een vrouw ligt in zeer kritieke situatie in het ziekenhuis en verkeert in levensgevaar. De groep liep op een stuk snelweg dat was afgesloten omdat er protesten plaatsvonden. De auto had de afsluiting omzeild en reed op hen in.
Het is niet duidelijk hoeveel personen gewond zijn geraakt. Voor zover bekend gaat het om zeker twee personen, inclusief de zwaargewonde vrouw, maar de auto zou ook andere voetgangers hebben geraakt. Het is niet duidelijk hoe zij eraan toe zijn. De automobilist kon uiteindelijk gestopt en gearresteerd worden, meldt een politiewoordvoerder.(NU)…[+]
Filipijnse president Duterte ondertekent controversiële antiterrorismewet
De Filipijnse president Rodrigo Duterte heeft vrijdag een omstreden antiterrorismewet ondertekend. Onder de nieuwe wet kunnen mensen die worden verdacht van terrorisme sneller worden gearresteerd en vastgehouden.
Veiligheidsdiensten mogen verdachten door de nieuwe wet zonder officiële aanklacht tot drie dagen vasthouden. De wet zou nodig zijn om terroristische organisaties zoals de aan IS gelieerde Abu Sayyaf aan te pakken. Die groep pleegt al jaren aanslagen op voornamelijk de zuidelijke eilanden van het land. Volgens Filipijnse advocaten en journalisten is de wet echter “te breed” geformuleerd, waardoor ook kritiek via sociale media als terrorisme gezien kan worden. Ze zijn bang dat de vrijheid van meningsuiting hierdoor in het geding komt.Ook zou de wet kunnen leiden tot grootschalige privacyschendingen. “Zelfs de mildste criticus op de regering kan nu als terrorist worden bestempeld”, schrijft Amnesty International op zijn website.(NU)…[+]
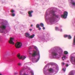
Brain-eating amoeba: Warning issued in Florida after rare infection case
A case of a rare brain-eating amoeba has been confirmed in Florida, according to health officials in the US state. The Florida Department of Health (DOH) said one person in Hillsborough County had contracted Naegleria fowleri.
The microscopic, single-celled amoeba can cause an infection of the brain, and is usually fatal. Commonly found in warm freshwater, the amoeba enters the body through the nose. The DOH did not outline where the infection was contracted, or the patient’s condition. The amoeba cannot be passed from person to person. Infections are typically seen in southern US states. They are rare in Florida, where only 37 cases have been reported since 1962.(BBC)…[+]




